Welcome to
Fortitude Valley Dentists
Fortitude Valley Dental Practice

Fortitude Valley
Fortitude Valley
Dr {Dentist} Cosmetic Dentistry Cosmetic Dentistry (LVI) Crowns Dental Crowns Cadcam Cerec Crowns Bridges Tooth Whitening Veneers Implants Orthodontics Braces and More Childrens Dentistry Root Canal Treatment Endodontics White Fillings Dentures Neuromuscular Dentistry Migraines Migrane Headaches Prosthodontics Endodontic Adults and Braces Airways and Obstructive Sleep Apnea Art of Dentistry Cosmetic Options Damon Braces Dentistry Terms Explained Diastemas and Treatment Options Early Orthodontics May Mean Less Treatment Later Emergency Dentist Family Dentistry Frequently Asked Questions Invisalign Invisalign Clear Braces Invisible Braces LVICosmeticSpecialists Nervous Patient Porcelain Veneers Protecting Your Healthy Smile While Wearing Brace Show Dentists Smile Makeover Space Maintainers For Premature Tooth Loss Teeth Whitening Temporomandibular Jaw Disorders Tooth Coloured Braces Wearing and Caring For Your Braces Retainer Dental Prosthetists Maxillofacial & Oral Surgeons Sedation - Pain Free - Sleep All on 4 Implants Are You a Nervous Patient Childhood Orthodontics Jaw Disorders No Gap Dentists Sports Mouth Guards

Art of dentistry Fortitude Valley Dentists

Through artistry and laboratory technique, we achieve outstanding and beautiful results restoring teeth with all- Porcelain Veneers and Porcelain Crowns. The cutting edge technology of adhesive bonding dentistry makes these restorations second to none. Many of the before and after cases you see here utilize this type of restoration-note their lifelike vitality. By removing unhealthy or cracked tooth structure and replacing it with natural looking porcelain, which fits the tooth like a thimble or jacket, we protect the remaining tooth structure and achieve a beautiful result.

Porcelain Veneers are thin, strong, custom-made porcelain restorations which are bonded to a prepared tooth. The result is a restoration that mimics natural, beautiful tooth structure. The artistic fabrication of Porcelain Veneers contributes greatly to the final result. Therefore we are careful to work with only highly skilled, artistic ceramists. This process is generally completed in 2 visits about a month apart.

Many patients simply have dentistry that has outlived its intended life. Fortitude Valley Dentists are primarily concerned with the health of our patients teeth. Cracked teeth and leaking, worn out fillings compromise the health of ones mouth. By replacing old fillings and cracked tooth structure with Porcelain Inlays or Porcelain Onlays, we are able to achieve a conservative restoration, saving all the healthy tooth structure that remains. A strong piece of porcelain is fabricated and bonded onto the tooth, for a natural looking restoration that strengthens the tooth unlike silver, mercury fillings which actually weaken a tooth and frequently cause teeth to fracture.

Bonding is a very conservative means to repair chipped, discolored or misaligned teeth. It is a one-visit procedure that utilizes composite resin material sculpted directly onto the existing tooth. Minimal preparation is needed to achieve the desired result. Although not as long lasting or strong as all-porcelain restorations, this conservative and aesthetic procedure has enhanced the smiles of many of our patients.

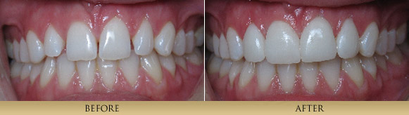
Paitent 1

This patient didn't like how her teeth looked in the front. She had large composite fillings placed which had discolored and chipped. Also the position of the edge of the 2 front teeth was wrong. With veneers we were able to change things around and give her a correct smile. (4 porcelain veneers)

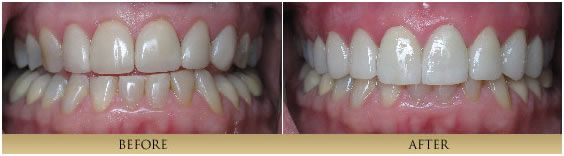
Patient 2

This patient was very displeased with her crooked teeth and at 60 years old didn't want braces. We chose veneers and in just a couple of weeks she had perfectly straight teeth. (6 porcelain veneers)

Patient 3

This patient was very unhappy with the appearance of her smile. We chose the "no prep, no shots" type of veneer and 2 weeks later she had the perfect smile. (4 porcelain veneers)

Patient 4

This is a case that will involve the whole mouth but we chose to first address the smile. She didn't like the color, position or shape of her teeth and with porcelain veneers we created the perfect smile that more closely matches her personality. (12 veneers, 2 all-porcelain crowns)

Patient 5

This patient had veneers placed several years prior and wasn't happy with the results. We replaced them and she chose a shade that was closer to her natural teeth. (8 porcelain veneers)

Patient 6

This patient had show the effects of wear and breakdown through the years. The veneers have not just improved the esthetics of his smile but will protect these teeth from further breakdown. (8 porcelain veneers)

Patient 7

This patient was very displeased with her smile. To fully correct the smile we need to treat both the upper and lower teeth. She chose to do it in phases. Just treating the top teeth made a big difference but we still need to complete the lowers for ideal results. (8 porcelain veneers)

To make an appointment

Click Here

Or to ask our friendly staff a question please call:

{Address}Fortitude Valley Fortitude Valley